Κατάγματα Μηριαίου ή Κνήμης

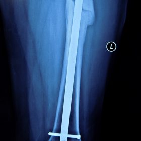
Τα κατάγματα της Διάφυσης των οστών της κνήμης και του Μηριαίου οστού στη σύγχρονη ΟΡΘΡΟΠΑΙΔΙΚΗ αντιμετωπίζονται με ΕΝΔΟΜΥΕΛΙΚΗ ΗΛΩΣΗ.

Δύο τομές 3 εκατοστών και 1 εκατοστού αντιστοίχως για την εισαγωγή και το κλείδωμα του ήλου μέσα στο οστό. Η μέθοδος είναι κλειστή,σχεδόν αναίμακτη,διάρκειας 60 λεπτών,με τη βοήθεια C-ARM (τηλεόρασης).

Στον ασθενή παρέχεται οπτικό υλικό (όλα τα χειρουργικά στάδια) σε CD ή Στικάκι,λόγω της δυνατότητας καταγραφής του χειρουργείου από το C-ARM Ο ασθενής περπατάει άμεσα μετεγχειρητικά στις 5 ώρες μετά την επέμβαση και εξέρχεται από το νοσοκομείο σε 1 -2 ημέρες.

Ο ασθενής επανέρχεται σε εργασία γραφείου εντός 15 ημερών και σε πιο βαριά χειρωνακτική εργασία εντός μηνός.

πισω

επικοινωνηστε μαζι μασ

Αν θέλετε να κλείσετε κάποιο ραντεβού …